Tratamento com acompanhamento profissional do início ao fim, invisível. discreto. confortável.


Experiência de 25 anos em Ortodontia
Utilizamos tecnologia de ponta para garantir o melhor diagnóstico e tratamento para o seu caso.

O aparelho transparente mais avançado do mundo. Removível, confortável, sem metais e muito discreto.

Soluções completas para alinhamento dentário em crianças, adolescentes e adultos.

Substitui as moldagens de massa e permite visualizar o resultado do seu tratamento antes mesmo de começar.
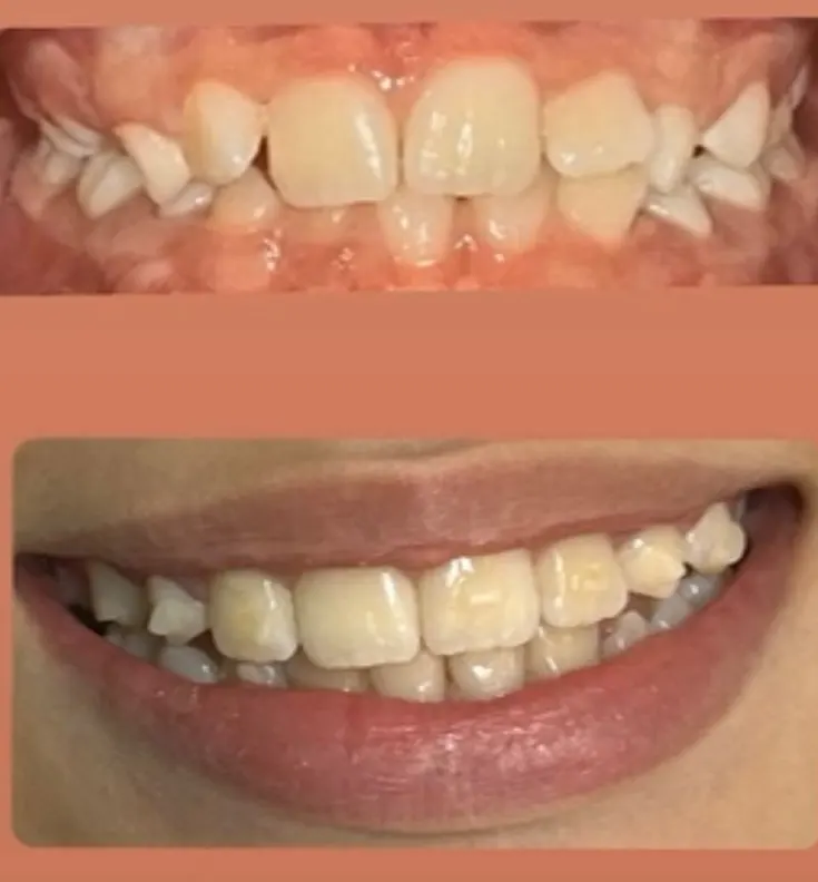
Seu sorriso é o nosso melhor resultado. Confira os resultados de pacientes que confiaram na nossa expertise.





O próximo sorriso transformado pode ser o seu.
Seu tratamento é conduzido por uma profissional de referência, dedicada a unir técnica e cuidado humano.
A Dra. Carolina Barbosa possui 25 anos de experiência cuidando de sorrisos com profissionalismo, afeto e tecnologia de ponta.

Nosso consultório está de portas abertas para receber você na região serrana.
Atendemos as cidades de:
Encontre o caminho mais fácil para o seu novo sorriso:
Não espere mais. O primeiro passo para o sorriso que você sempre sonhou está a um clique de distância.
Fale com nossa equipe agora mesmo e tire todas as suas dúvidas.
CRO: 25264-RJ | Responsável Técnico: Dra. Carolina Barbosa
© 2025 Copyright | Todos os direitos reservados